Below is an interesting article on Lisfranc injuries in the NFL.
They appear to be a career limiting injury.
Lisfranc Injuries in the NFL - Link to article
Blog for discussion of Lisfranc injuries, Lisfranc fractures, Lisfranc dislocations, Ligamentous Lisfranc injuries, Lisfranc fusion vs. ORIF, and all things Lisfranc.
Friday, 24 May 2013
Tuesday, 14 May 2013
Non-operative Management
Cases treated non-operatively.
These are patients who opted not to proceed with surgery.
As you can see all had x-ray findings consistent with a lisfranc injury. They were allowed to be weight bearing as tolerated in a cast boot and transitioned to a hard sole shoe / hiking boot as pain and swelling decreased. The average time was between 6 to 12 weeks.
Some patients had no pain after the injury had healed, others had minimal pain and decided that surgery + the associated recovery time was not in their best interest.
Case 1:
Case 2:
Case 3:
Case 4:
Case 5:
Case 6:
Case 7:
Case 8:
Case 9:
Case 10:
Case 11:
Case 12:
Case 12 - patient had evident lisfranc injury on right side. Patient was transitioned from a cast boot to a hard soled shoe. At 9 weeks patient no longer had pain and was able to perform a single heel raise. As such we opted not to proceed with a lisfranc fusion procedure.
Case 13:
Case 14:
Case 15:
Case 16:
Case 17:
Case 18:
Case 19:
Foot after closed reduction.
Case 20:
Initial injury x-ray and repeat x-rays 1 month after closed reduction.
7 months post-injury - patient continues to have minimal pain and discomfort - he has returned to work and regular activities.
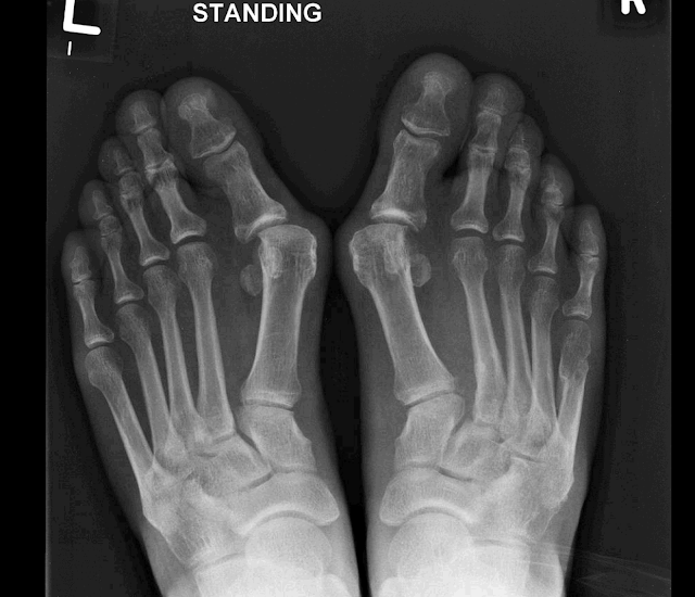
These are patients who opted not to proceed with surgery.
As you can see all had x-ray findings consistent with a lisfranc injury. They were allowed to be weight bearing as tolerated in a cast boot and transitioned to a hard sole shoe / hiking boot as pain and swelling decreased. The average time was between 6 to 12 weeks.
Some patients had no pain after the injury had healed, others had minimal pain and decided that surgery + the associated recovery time was not in their best interest.
Case 1:
Case 2:
Case 3:
Case 4:
Case 5:
Case 6:
Case 7:
Case 8:
Case 9:
Case 10:
Case 11:
Case 12:
Case 12 - patient had evident lisfranc injury on right side. Patient was transitioned from a cast boot to a hard soled shoe. At 9 weeks patient no longer had pain and was able to perform a single heel raise. As such we opted not to proceed with a lisfranc fusion procedure.
Case 13:
Case 14:
Case 15:
Case 16:
Case 17:
Case 18:
Case 19:
Foot after closed reduction.
Case 20:
Initial injury x-ray and repeat x-rays 1 month after closed reduction.
7 months post-injury - patient continues to have minimal pain and discomfort - he has returned to work and regular activities.
Subscribe to:
Comments (Atom)




















