Below is a list of other internet resources worth reading if you have a lisfranc injury:
http://orthoinfo.aaos.org/topic.cfm?topic=A00162
http://www.aafp.org/afp/1998/0701/p118.html
http://www.orthobullets.com/foot-and-ankle/7030/lisfranc-injury-tarsometatarsal-fracture-dislocation
http://emedicine.medscape.com/article/1236228-overview
One advantage of fusion vs. ORIF is that the procedure no longer needs to be performed urgently.
A fusion can be performed at almost anytime after the injury. One caveat is the severity of the injury. Another caveat is that patients who wait greater than 1 year - seem to have a worse outcome. At present, the optimal time to perform surgery seems to be within 4 months of injury.
This is good for several reasons:
1) The patient can plan when they want to have the fusion. This gives the patient time to plan ahead in regards to work, child care, transportation and housing arrangements.
2) The patient and surgeon are convinced that they are dealing with a true lisfranc injury. If you have a simple metatarsal fracture this should heal within 6 to 12 weeks. However, if the pain does not get better in this time period, and you have separation at the lisfranc ligament, there is a possibility that you have a lisfranc injury.
3) Swelling in the foot and wound closure is no longer an issue.
4) Non-operative management has been exhausted. Approximately 30% of patients referred for a Lisfranc injury do well with non-operative management.
5) You can take the time to find an Orthopaedic Surgeon who specializes in Foot and Ankle Surgery to perform your surgery. This is especially true if you proceed with a Lisfranc fusion procedure. A Lisfranc fusion procedure is a surprisingly technical operation that is difficult to perform well.
Medical Disclaimer
Blog for discussion of Lisfranc injuries, Lisfranc fractures, Lisfranc dislocations, Ligamentous Lisfranc injuries, Lisfranc fusion vs. ORIF, and all things Lisfranc.
Monday, 15 July 2013
Sunday, 7 July 2013
Lisfranc injury blog's from the patient perspective
When googling lisfranc injury you come across quite a few blog's / discussions from the patient perspective.
I find these blog's very interesting and therapeutic for my patient's to read.
In general the more information you have going into an operation, the better the outcome.
I have listed some of the more popular blog's and forums:
http://www.suzannes-tribe.blogspot.co.uk/p/impact-and-recovery.html
https://www.facebook.com/LisfrancFractureClub
http://mylisfranc.wordpress.com/
http://lisfrancinjury.wordpress.com/
http://lisfranc.wordpress.com/
http://leftfootchronicles.wordpress.com/
http://jennsaysholler.wordpress.com/
http://rabidginfairylisfranc.wordpress.com/
http://www.steadyhealth.com/Lisfranc_Foot_Fracture_Stories___part_3_t181869.html?page=6
http://www.steadyhealth.com/Is_full_recovery_possibe_from_a_lisfranc_fracture__t248520.html
http://www.foot-health-forum.com/forum/showthread.php?t=58867
I find these blog's very interesting and therapeutic for my patient's to read.
In general the more information you have going into an operation, the better the outcome.
I have listed some of the more popular blog's and forums:
http://www.suzannes-tribe.blogspot.co.uk/p/impact-and-recovery.html
https://www.facebook.com/LisfrancFractureClub
http://mylisfranc.wordpress.com/
http://lisfrancinjury.wordpress.com/
http://lisfranc.wordpress.com/
http://leftfootchronicles.wordpress.com/
http://jennsaysholler.wordpress.com/
http://rabidginfairylisfranc.wordpress.com/
http://www.steadyhealth.com/Lisfranc_Foot_Fracture_Stories___part_3_t181869.html?page=6
http://www.steadyhealth.com/Is_full_recovery_possibe_from_a_lisfranc_fracture__t248520.html
http://www.foot-health-forum.com/forum/showthread.php?t=58867
Saturday, 6 July 2013
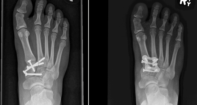
Lisfranc / Midfoot fusion - pre and post-op x-ray montage / Lisfranc and Ligamentous Lisfranc injuries
Some recent cases completed at Georgetown Hospital:
Case 1:
Case 2:
Ligamentous lisfranc injury
Ligamentous lisfranc injury
Case 3:
Case 4:
Case 5.1:
Patient requested removal of hardware
Case 6:
Case 8:
Case 9:
Case 9.1:
Patient did not achieve fusion / broken plate / required revision fusion:
Case 10:
Case 11:
Case 12:
Case 13:
3rd metatarsal required further hardware to obtain reduction.
Case 14:
Ligamentous lisfranc injury
Case 15:
Pre-op bilateral foot AP weight bearing x-ray / Patient had pain in foot for 9 month before deciding to proceed with surgery.
Ligamentous lisfranc injury
Case 16:
Pre-op bilateral foot AP weight bearing x-ray / Patient had pain in foot for 1 year before deciding to proceed with surgery.
Case 17:
Non-union at 10 months required revision fusion.
Case 18:
Case 19:
Case 19.1:
Patient wanted hardware removal at 1 year post-op.
Case 20:
Case 21:
Case 23:
Case 24:
Case 25:
Case 26:
Case 27:
Case 28:
Case 29:
Case 30:
Case 31:
Case 32:
Case 33:
ORIF revision to fusion
Case 34:
Case 35: Pre-op / 6 months post-op
Subscribe to:
Comments (Atom)









































